
Skin Cancer (Nonmelanoma)
Latest News
Latest Videos

CME Content
More News

Although Merkel cell carcinoma can develop undetected or at a metastasized site, it usually first appears as a painless lump or nodule on an area of the skin that has been exposed to the sun.

Merkel cell carcinoma is a rare, aggressive cutaneous malignancy that originates due to the uncontrollable proliferation of Merkel cells.

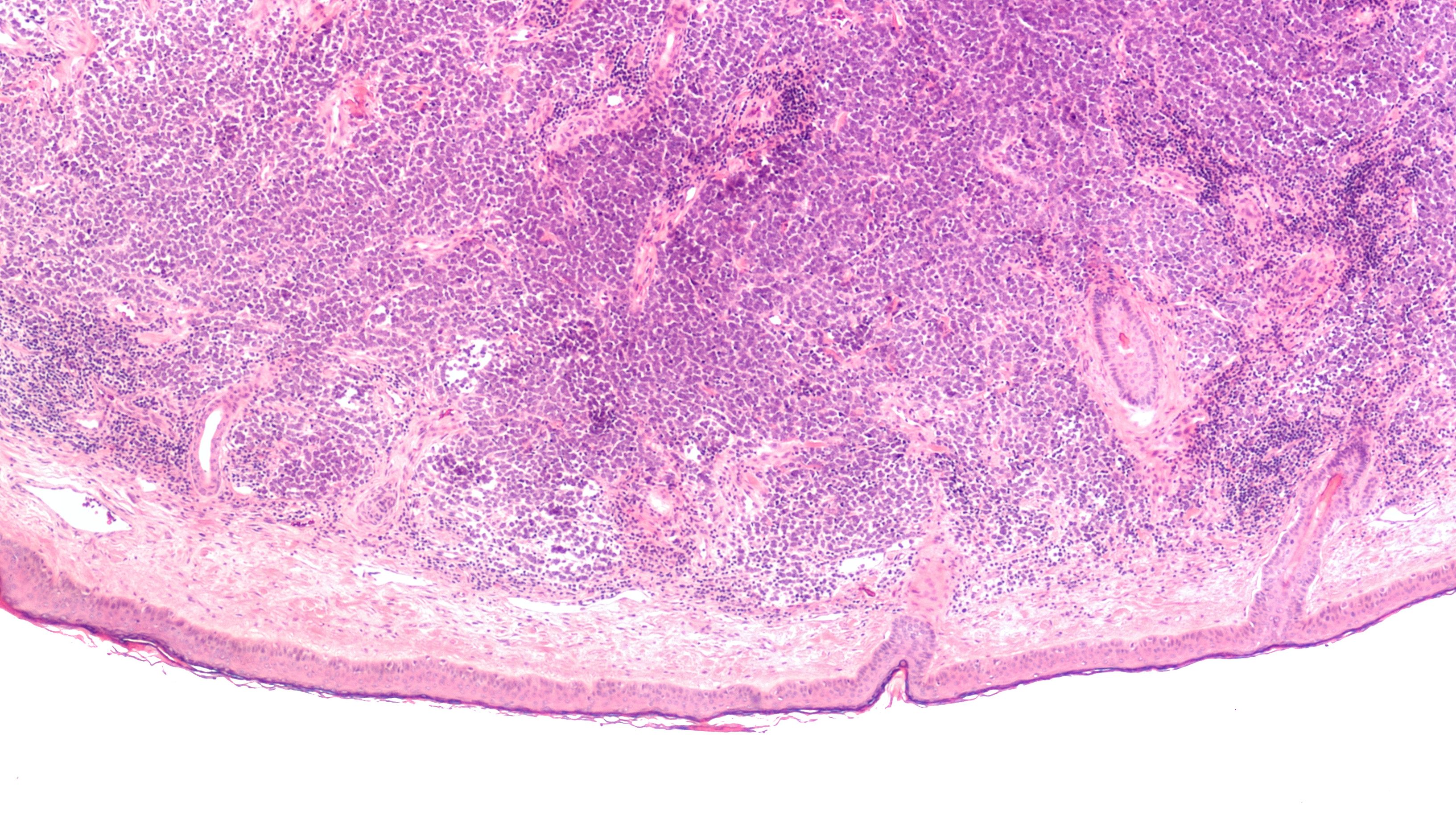
Eccrine porocarcinoma is a rare, aggressive tumor that originates from the intraepidermal ducts of eccrine glands.

Findings from a retrospective cohort study found that immune checkpoint inhibitors induced promising responses in the first- and second-line treatment of head and neck squamous cell carcinoma.

Neoadjuvant treatment with cemiplimab led to near or complete disappearance of cutaneous squamous cell carcinoma in almost 64% of patients set to undergo surgery.

In this week’s Pointers with Dr Portela, the 208SkinDoc discusses a rare form of skin cancer, Merkel cell carcinoma.

The 40-gene expression profile (40-GEP) test can focus treatment options and optimize patient outcomes, according to a poster presentation at the 2022 Fall Clinical Dermatology Conference.

At the 2022 Fall Clinical Dermatology Conference in Las Vegas, a look at the latest technology for treating basal cell carcinoma and nonmelanoma skin cancer.

Immune checkpoint inhibitor therapy does not appear to increase complication rates in patients undergoing dermatologic procedures, according to a video oral abstract presentation at the 2022 ASDS Annual Meeting.

Sherrif Ibrahim, MD, PhD, provides key pearls from his co-directed session at the 2022 Annual ASDS Meeting, “Defining ‘High-Risk’ for Squamous Cell Carcinoma: Implications for Treatment Paradigms.”

Authors of an oral abstract at the 2022 ASDS Annual Meeting presented their findings on the demographics of who requests total body skin exams to screen for skin cancer.

Two dermatologists discuss how immune checkpoint inhibitors will change the way dermatologists manage skin cancer.

At a poster session at the Skin of Color Update meeting in New York City, investigators looked at skin cancer education and prevention among patients with skin of color.

The relationship between transplant patients and basal cell carcinoma was discussed at EADV Congress 2022 in Milan, Italy.

Soligenix announces positive phase 3 results from FLASH study for the use of synthetic hypericin to reduce cutaneous T-cell lymphoma lesions.

A grant from the Melanoma Research Foundation powers the initial stages of the project.

MW005 treatment for low-risk basal cell carcinoma would offer patients an alternative to surgical excision.

A 5-month-old girl with a large scalp infantile hemangioma (IH), present since 6 weeks of age, is evaluated in the emergency department for lethargy and pallor.

Click here to answer this week's poll.

Click here to answer this week's poll.

A systematic review of literature shows a shift from amputation to other surgical tactics to treat certain types of nail squamous cell carcinomas.

Age alone does not appear to predict all post-treatment outcomes for BCC patients and should not be used solely to guide BCC-related treatment decisions, a recent study says.

Regeneron Pharmaceuticals Inc came to an agreement to buy the drug from Sanofi for up to $1.1 billion.

The AAD recently added topical tirbanibulin (Klisyri: Almirall) to its list of recommended therapies for treating AK.

Protection from the harsh rays of the sun is crucial for everyone—including children. Now that summer has arrived, a refresher course for your patients and their families on sun protection, which can go a long way in preventing skin damage and disorders due to the sun.





























