
Skin Cancer (Nonmelanoma)
Latest News

Latest Videos

CME Content
More News

Katie Schlenker, DO, emphasizes the importance of empathy during tough conversations with skin cancer patients with few to no treatment options left.

Golda explains why he prefers using tranexamic acid to control bleeding in granulated wounds.

An ACMS poster session indicates Mohs micrographic surgeons and histology technicians are at high risk of developing musculoskeletal injuries from their day-to-day tasks.

Laura Rezac, MD and her colleagues evaluated a teledermatology postoperative follow-up model after Mohs Micrographic surgery.

Caleb Kovell, MD and Junqian Zhang, MD demonstrated how teaming up increases the likelihood for positive patient outcomes in Mohs cases on the genitalia and perianal region.

The question was a conversation starter after an ACMS clinical abstract presentation.

An ACMS poster session delves into the role artificial intelligence can play in the treatment of basal cell carcinoma.

A poster session and ACMS keynote speaker Anant Madabhushi, MS, PhD, both delve into the use of AI in Mohs surgery.

Bar will share insight on foldover interpolated flaps for full thickness of nasal defects.

From explaining how medications work and should be taken to reviewing potential adverse effects and financial details, pharmacists are crucial resources for patients undergoing treatment for skin cancer.

The task force defined screening as a visual skin exam by a primary care clinician for this recommendation.

Verrica Pharmaceuticals is developing a potentially first-in-class oncolytic peptide.

With the advent of immunotherapy, the 1-year survival rate for patients with metastatic melanoma has increased from 25% to 50%.

Incyte’s MCC indication is approved under accelerated approval based on tumor response rate and duration of response.

The commander-in-chief’s cancerous tissue was successfully removed last month.

Transplant patients are at a higher risk of nonmelanoma carcinomas due to immunosuppressive therapies.

In this week’s Pointers with Dr Portela, the 208SkinDoc discusses basal cell carcinoma and Mohs surgery related to Jill Biden's most recent skin cancer diagnosis.

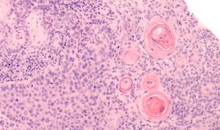
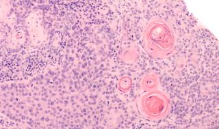
Merkel cell carcinoma is a rare but highly aggressive type of nonmelanoma skin cancer and Merkel cell polyomavirus is thought to play a major role in its etiology.

This review will explore various leukemia-related cutaneous findings and discuss the diagnosis and management of these conditions.

Darrell S. Rigel shares current updates in skin cancer treatments and incidences across the US at Winter Clinical Hawaii.

New clues about the immune system response to MCC may be able to help guide future treatment strategies.

In basal cell carcinoma, the most common type of skin cancer accounting for 80% of all non-melanoma skin cancers, one of the leading options for cases that fall into this category is targeted treatment with Hedgehog pathway inhibitors.

Although Merkel cell carcinoma can develop undetected or at a metastasized site, it usually first appears as a painless lump or nodule on an area of the skin that has been exposed to the sun.

Merkel cell carcinoma is a rare, aggressive cutaneous malignancy that originates due to the uncontrollable proliferation of Merkel cells.

Eccrine porocarcinoma is a rare, aggressive tumor that originates from the intraepidermal ducts of eccrine glands.



























