
There are more than 355,000 nurse practitioners licensed in the United States in a variety of practice areas.

There are more than 355,000 nurse practitioners licensed in the United States in a variety of practice areas.

Over the last few decades, genetic research has opened doors to improve the treatment of immune-mediated conditions like psoriasis, but there are still questions about how these diseases are triggered at the cellular level.

Highly effective medications for severe disease are expensive and administered invasively, while the development of treatments for milder disease has lagged, a new review on psoriasis clinical trials concludes.

New products focus on multimodal healing with absorption, antibacterial, and regenerative properties.

New clues about the immune system response to MCC may be able to help guide future treatment strategies.

In basal cell carcinoma, the most common type of skin cancer accounting for 80% of all non-melanoma skin cancers, one of the leading options for cases that fall into this category is targeted treatment with Hedgehog pathway inhibitors.

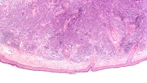
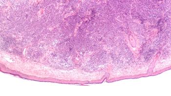
Although Merkel cell carcinoma can develop undetected or at a metastasized site, it usually first appears as a painless lump or nodule on an area of the skin that has been exposed to the sun.

Blastic plasmacytoid dendritis cell neoplasm is a rare and aggressive form of cancer that usually makes its appearance in the form of red to violet papules and plaques.

A new study highlights the ways genetic testing and profiling can be extended to help diagnose and treat a variety of conditions—even rashes.

New studies explore how stress plays a large role in triggering acne.

The effect of acne is more than skin deep.

Studies show that patients with atopic dermatitis may benefit from a multidisciplinary approach.

Seborrheic dermatitis will affect roughly half of all infants, making knowing how to treat and manage it key.

Dropping temperatures and dry air can wreak havoc on anyone's skin, but especially the delicate skin of an infant. Prevention is the best tactic to keep skin healthy.

Infants with eczema may require different approaches to preventing food allergies, including early introduction of peanuts to increase oral exposure to allergens before skin exposure.

Published: November 23rd 2021 | Updated:

Published: December 10th 2021 | Updated:

Published: January 5th 2023 | Updated:

Published: January 3rd 2023 | Updated:

Published: January 18th 2023 | Updated:

Published: September 6th 2022 | Updated: