
Skin Cancer
Latest News
Latest Videos

CME Content
More News

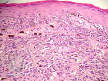
According to 2 studies, this model has demonstrated the potential to assist in developing treatment and monitoring plans for early-stage melanomas.

Influencers promote the use of tanning beds and list the “benefits,” such as obtaining vitamin D and helping with seasonal affective disorder, among other reasons that have no merit.

An XAI AI model using 2D facial images accurately predicted skin cancer better than traditional factors, according to a study advocating for AI-driven screening.


China’s NMPA has approved tunlametinib for the treatment of patients with NRAS-mutated advanced melanoma after prior anti–PD-1/PD-L1 therapy.

Two posters at the AAD Annual Meeting examined disparities in skin cancer survival between urban and rural areas and assessed how having skin of color affects this.

We take a look at various studies examining the role of artificial intelligence in telemedicine photo quality, the impact of the COVID-19 pandemic and skin cancer diagnoses, and more.

Den, the chief medical officer of Alpha Tau, discusses the alpha particle-emitting atom treatment and its ability to target cancer cells without harming healthy tissue.

From our March cover feature: Vulnerable populations such as the prison population should have access to Mohs surgery to prevent the increased risk of morbidity and mortality from skin cancer.

Rebecca Hartman, MD, MPH, FAAD, and Christine Kannler, MD, FAAD, took a deep dive into considerations and pearls to treat patients who have been exposed to extreme heat and chemicals in the line of duty.

In most kidney transplant recipients with advanced skin cancer, 2 checkpoint inhibitors are needed to boost the immune system, according to a new study.

Researchers sought to expand knowledge of the role of cannabis and its molecular mechanisms in anticancer effects.

Lifileucel is a tumor-derived autologous T cell immunotherapy.

The 2-GEP test is made of 2 biomarkers, LINC00518 and PRAME.

The test may help patients with melanoma safely avoid a sentinel lymph node biopsy.

New data on the devices will be available at the 2024 American Academy of Dermatology Annual Meeting.

The Skin Cancer Foundation’s initiative, Destination Healthy Skin, travels to various cities throughout the country in an RV, wherein volunteer dermatologists provide on-the-street, free-of-cost skin screenings.

DermTech’s study results demonstrated that in patients with Fitzpatrick skin types IV-VI, all 3 melanomas diagnosed by histopathology were correctly identified by the 2-GEP assay as positive for LINC00518 and PRAME.

Researchers also found that explainable AI methods, also known as XAI, further contributed to the confidence and accuracy associated with AI assistance.

A recent study explored the risk of skin cancer faced by patients undergoing phototherapy without psoralens.

The hand-held DermaSensor uses an AI algorithm to noninvasively evaluate suspicious skin lesions for cancer.

Vd1-gd T cells, a rare type of immune cell, have been found to potentially predict how likely it is that certain patients with advanced skin cancer will be responsive to treatment via immunotherapy, according to recently published research.

SXRT may present a cost-effective and surgery-free therapeutic option for patients with non-aggressive BCC and SCC.

A study found that combining dermoscopy with RCM not only improved diagnostic accuracy but also improved diagnostic certainty.

A hand-held skin fluorescence imaging system shows promise in its ability to differentiate between concerning and non-concerning moles.



















