
The hand-held DermaSensor uses an AI algorithm to noninvasively evaluate suspicious skin lesions for cancer.

The hand-held DermaSensor uses an AI algorithm to noninvasively evaluate suspicious skin lesions for cancer.

Vd1-gd T cells, a rare type of immune cell, have been found to potentially predict how likely it is that certain patients with advanced skin cancer will be responsive to treatment via immunotherapy, according to recently published research.

SXRT may present a cost-effective and surgery-free therapeutic option for patients with non-aggressive BCC and SCC.

A study found that combining dermoscopy with RCM not only improved diagnostic accuracy but also improved diagnostic certainty.

A hand-held skin fluorescence imaging system shows promise in its ability to differentiate between concerning and non-concerning moles.

Placental tissues provide a promising alternative for addressing cutaneous reconstruction while maintaining the most cosmetically pleasing outcome.

The promising results were presented in a poster at the 2024 Winter Clinical Hawaii Dermatology Conference in Honolulu, Hawaii.

The last patient has been dosed in the trial of the potential first-in-class oncolytic peptide for BCC.

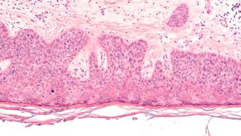
In this study, researchers treated 37 basal cell carcinoma (BCC) lesions from 30 patients, with follow-ups at 5 time points after baseline examination.

SKNJCT-003 is expected to enroll up to 60 patients.

As 2023 comes to a close, Dermatology Times is taking a look back at the studies, therapies, and advances in skin cancer this year.

The study examined the mechanisms of action associated with immune checkpoint inhibitor combination therapies.

The Society for Immunotherapy of Cancer recently published insights into the management of patients with preexisting autoimmune disease, solid organ transplant recipients, elderly individuals, those living with HIV, pregnant patients, and those with rare noncutaneous subtypes of melanoma.

Click here to answer this week's poll about a recent FDA Complete Response Letter.

At 3 years, V940 plus pembrolizumab reduced the risk of recurrence or death by 49% and the risk of distant metastasis or death by 62%.

One of the specific areas of focus will be non-melanoma skin cancer.

Investigators used LIMS to classify melanoma samples as tumors and non-tumors.

Click here to answer this week's skin cancer poll.

A review examined the treatment landscape of BCC, particularly in the realm of photodynamic therapy.

With artificial intelligence taking front and center in many aspects of our lives, will it be more prevalent in the dermatology practice than it is now?

The addition of bemcentinib to the standard-of-care therapies of pembrolizumab or dabrafenib plus trametinib was well tolerated in patients with metastatic melanoma; however, it did not lead to improvements in overall response rate, progression-free survival, or overall survival vs SOC alone.

Each of 3 patients treated with cemiplimab achieved a near complete response.

Identifying social determinants in TEM is crucial to eliminating disparities in care, study authors wrote.

Immunotherapies, including PD-1 checkpoint inhibitors such as nivolumab, have improved the treatment options for patients with advanced melanoma.

Findings from a phase 2 trial showed improvements in relapse-free survival with an mRNA vaccine plus Keytruda compared with Keytruda alone in patients with high-risk resected melanoma.