
Most of the patients receiving the non-surgical treatment experienced a complete clearing of tumors.

Most of the patients receiving the non-surgical treatment experienced a complete clearing of tumors.

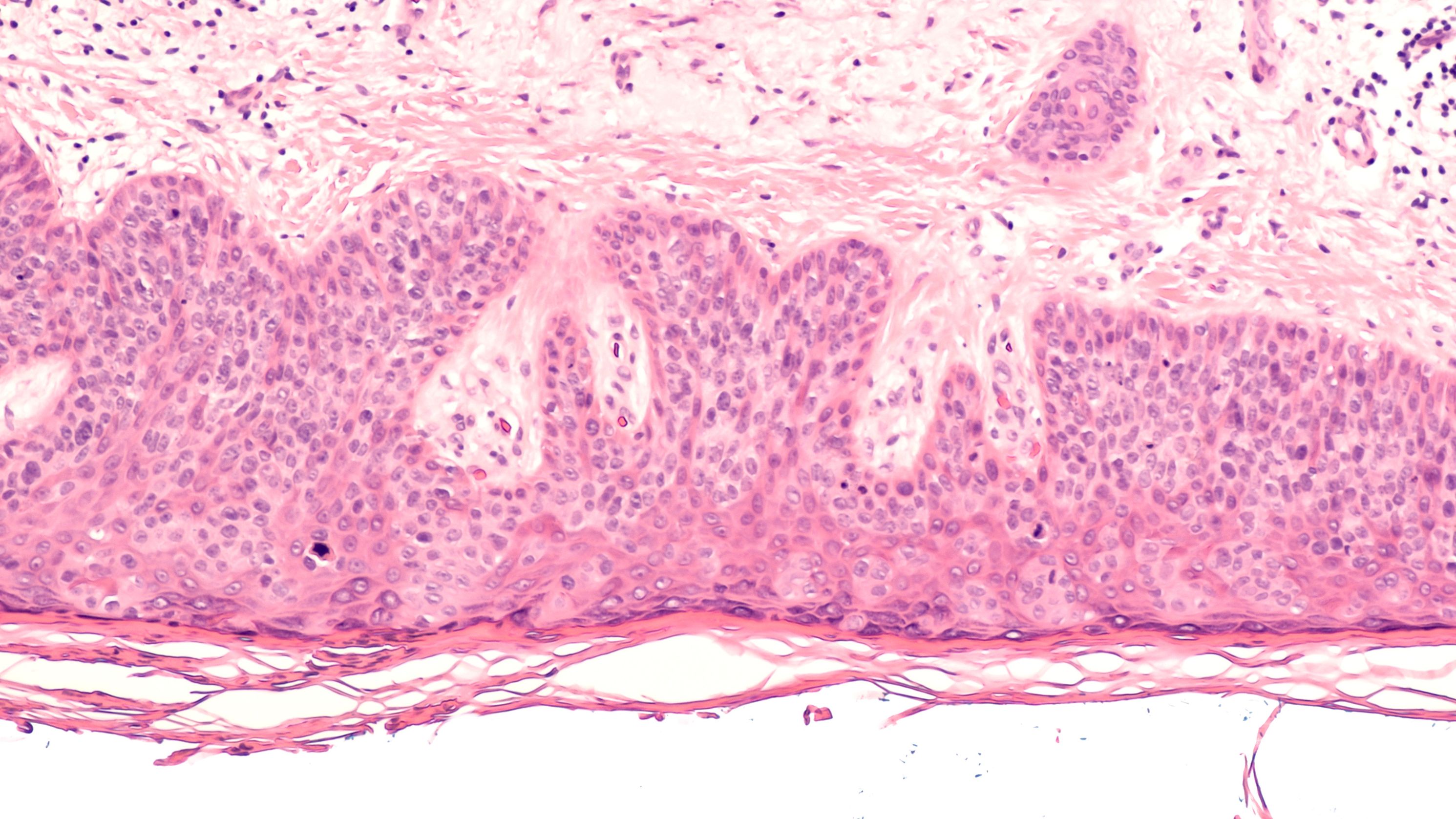
While the linkage between squamous cell cancers and genital lichen sclerosus has been well-established, fewer studies have examined the associations between penile melanomas in males.

The study is the first large study to assess skin cancer screening efforts aimed at volunteer firefighters in the US.

Research showed that many patients with skin cancer who had been treated using immunotherapy, such as immune checkpoint inhibition, experienced chronic side effects.

Clinically asymptomatic patients receiving alternative to conventional follow-up had a higher 3-year overall survival rate.

In this week’s Pointers With Portela, the 208SkinDoc answers frequently asked questions about sunscreen use.

"The analysis showed a statistically significant, positive effect of normal serum vitamin D levels on increasing ORR and PFS as a result of anti-PD‐1 immunotherapy in patients with locally advanced inoperable or metastatic melanoma,” according to a recent study.

The phase 1 study evaluated patient responses to cosibelimab in cases of locally advanced or metastatic cutaneous squamous cell carcinoma.

Respondents did not know how long they needed to be outside to get adequate vitamin D.

In ethnic and racial minority populations, more than 12,000 standard skin cancer screenings would be done to identify 1 case of melanoma, according to a recent study.

Study finds that use of mHealth app could be useful in early detection of skin cancer but cautions that overdiagnosis is a possibility.

Researchers found significant difference in survival rates between lentigo maligna melanoma, nodular malignant melanoma, and superficial spreading melanoma.

Both companies are hoping to make a positive impact in the neoadjuvant setting of cutaneous squamous cell carcinoma.

V940-001 is the first phase 3 study of a planned comprehensive clinical development program initiated after the positive primary analysis of the phase 2b KEYNOTE-942/mRNA-4157-P201 trial.

Men have a lower overall survival rate than women when diagnosed with melanoma.

Click here to answer this week's poll.

The clinical presentations of Merkel cell carcinoma in patients with skin of color require dermatology providers to be more aware of the nuances in diagnosis and management.

Summer months bring time outside. With July being UV Awareness month, we are highlighting some past articles you may have missed.

Click here to answer this week's poll.
A poster presentation from the 19th Annual Skin of Color Society Scientific Symposium analyzed the differences in presentation of cutaneous melanoma among Asian American and Pacific Islander patients.

Aminolevulinic acid 20% topical solution activated by pulsed dye laser and blue light achieves positive results in treating squamous cell carcinoma.

Orit Markowitz, MD, discusses the future of non-invasive lasers in removing skin cancer and cancerous lesions, ultimately allowing patients to leave the practice without a bandaid.

In this week’s Pointers with Portela, the 208SkinDoc interviews a patient who has battled stage IV melanoma for many years.

Physicians talk about the challenges they face with patients as well as available treatment options.

Click here to answer this week's sunscreen poll.