
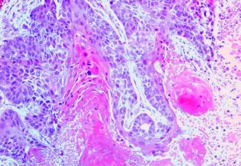
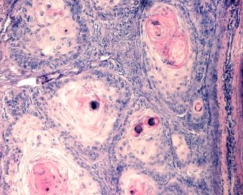
Surgical removal techniques including Mohs surgery and excisional surgery are preferred treatment approach when addressing BCCs, particularly on the hands.


Surgical removal techniques including Mohs surgery and excisional surgery are preferred treatment approach when addressing BCCs, particularly on the hands.

Dermatologist Laura Ferris, MD, PhD, discusses skin-related toxicities as a result of immunotherapies for the treatment and management of cancers.

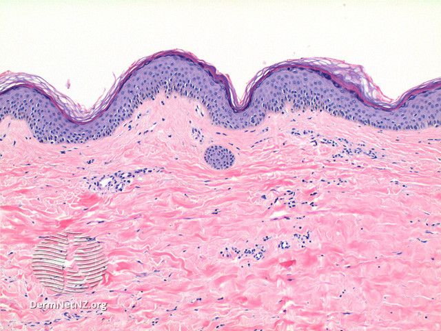
Many studies have investigated the associations between lichen sclerosus and vulvar and penile SCCs, as well as genital melanomas.

In this week’s Pointers With Portela, the 208SkinDoc explains why individuals with certain careers have an increased risk of developing skin cancer.

Learn more about the in-depth topics covered in the September 2023 Frontline Forum BCC management supplement of Dermatology Times.

In the final part of this Frontline Forum series, Brent Moody, MD; Sarah Arron, MD, PhD; Justine Cohen, DO; Emily Ruiz, MD, MPH; and Todd Schlesinger, MD, review 4 real-world clinical cases of BCC and the treatments they utilized.

In part 3 of this Frontline Forum series, Brent Moody, MD; Sarah Arron, MD, PhD; Justine Cohen, DO; Emily Ruiz, MD, MPH; and Todd Schlesinger, MD, discuss non-surgical treatment options for the management of BCC, dose adjustments for systemic treatments, combining hedgehog pathway inhibitors with immunotherapy, and more.

Frequent fliers, including pilots and cabin crew, are exposed to greater levels of UV and cosmic ionizing radiation than the general population, leading to higher incidence of skin cancers.

In part 2 of this Frontline Forum series, Brent Moody, MD; Sarah Arron, MD, PhD; Justine Cohen, DO; Emily Ruiz, MD, MPH; and Todd Schlesinger, MD, discuss non-surgical treatment options for the management of BCC, dose adjustments for systemic treatments, combining hedgehog pathway inhibitors with immunotherapy, and more.

In part 1 of this Frontline Forum series, Brent Moody, MD; Sarah Arron, MD, PhD; Justine Cohen, DO; Emily Ruiz, MD, MPH; and Todd Schlesinger, MD, discuss non-surgical treatment options for the management of BCC, dose adjustments for systemic treatments, combining hedgehog pathway inhibitors with immunotherapy, and more.

Rescue workers had a higher rate of malignant melanoma between 2005 and 2015 compared the general population of New York State.

Second-line end points of the TRICOTEL trial assessing atezolizumab plus vemurafenib and cobimetinib in melanoma with central nervous system metastases appear consistent with primary efficacy end points.

A coprimary end point in the phase 3 LEAP-010 study will not be met.

Click here to answer this week's skin cancer poll.

Melanoma cases were almost 10 times higher in high Human Development Index countries than in low.

In this week’s Pointers With Portela, the 208SkinDoc takes an in-depth look at Merkel cell carcinoma after Jimmy Buffett passed away from a 4-year battle with the rare form of skin cancer.

Endocrine toxic effects were more likely than nonendocrine to become chronic and continue at last follow-up.

Risk of recurrence or death was reduced by 58% compared to placebo.

Collaboration between dermatologists and gynecologists can improve patient quality of life and outcomes in vSCC treatment.

According to study authors, this electrical communication between skin cells may have the potential for therapeutic implications.

Although rare, clinicians are encountering more pediatric patients who are at an increased risk of skin cancer due to immunosuppression.

A combined treatment regimen of encorafenib and binimetinib led to improved progression-free survival, overall response rate, and tolerability in patients with advanced BRAF-mutant melanoma.

Patients with the DecisionDx-Melanoma 31-gene expression profile test had a 29% lower melanoma-specific survival mortality.

Most of the patients receiving the non-surgical treatment experienced a complete clearing of tumors.

While the linkage between squamous cell cancers and genital lichen sclerosus has been well-established, fewer studies have examined the associations between penile melanomas in males.