
Fruits and vegetables rich in vitamin A appear to play a significant role in helping to decrease the incidental risk of developing squamous cell carcinoma, according to a recent study.

Fruits and vegetables rich in vitamin A appear to play a significant role in helping to decrease the incidental risk of developing squamous cell carcinoma, according to a recent study.

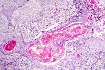
One expert believes that clinicians may want to seek a second pathologic opinion for particularly difficult-to-diagnose melanocytic lesions before solely relying on the results of existing molecular assays.

Abnormal proliferation of the Demodex mites is frequent among patients with erythematotelangiectatic rosacea (ETR), according to one expert.

A new online resource called the Understand AD Squad aims to help teens navigate real-life experiences with atopic dermatitis.

Methotrexate and cyclosporine appear to have better safety profiles over a six-month period than other systemic treatments used to treat atopic dermatitis, according to a recent study.

Norman Levine, M.D., discusses the potential benefits and pitfalls of retiring from dermatology.

In the decades that Dermatology Times reporters have covered the specialty, we’ve had the pleasure of profiling the specialty’s champions. Some shared their professional accomplishments, while others revealed unknown aspects of their personal lives. Here just some of the interesting tidbits from years’ past.

Evidence that points to interleukin-17 playing a role in the development and progression of rosacea also indicates research should investigate IL-17 inhibition as a therapeutic option for some patients, an expert says.

Allan C. Halpern, M.D., discusses what dermatologists need to understand about AI and how it might interact with or disrupt the specialty.

Several retrospective analyses indicate spironolactone may have similar efficacy to oral antibiotics in the treatment of acne in women. Underuse of this off-label treatment option may be due to lack of efficacy evidence. The two options should be directly evaluated in future studies to guide practice.

The often-devastating impact of female hair loss requires dermatologists to diagnose and quell underlying pathology as quickly as possible, usually using combination therapies followed by long-term maintenance.

Acne patients are open to using effective antibiotic-free treatments if their prescriber offers them, says a recent study.

It is well established that psoriasis is associated with cardiometabolic disease, though the reason why remains unclear. This study followed pregnant women and mothers with psoriasis over an 11 year period to gain insight into the link between the immune-mediated skin disease and cardiometabolic disease.

Pruritus frequently afflicts psoriasis patients, but few studies explore the role of pruritus in regards to disease activity, pharmacotherapy or demographics. This study attempts to fill that gap.

Today, the U.S. Food and Drug Administration approved the topical retinoid trifarotene 0.005% (AKLIEF, Galderma) for the treatment of acne vulgaris.

Do you recommend psychotherapy to your psoriasis patients? While there is a well-established connection between psoriasis and mental health, there is little data available on the impact of psychological interventions on psoriasis. These study authors look to fill that gap.