
While neuropathic pain is a focus of research and drug development, the same cannot be said for neuropathic itch.

While neuropathic pain is a focus of research and drug development, the same cannot be said for neuropathic itch.

Patients with moderate-to-severe atopic dermatitis are at high risk of having inadequate disease control, according to a cross-sectional study in JAMA Dermatology.

European Union regulation on data protecion has put pressure on U.S. legislators and regulators to heighten protections within our own borders, experts say. The ramifications for healthcare organizations, both abroad and in the United States, are significant. Here’s what you need to know.

Researchers explore the association between drug price and market competition among the most commonly prescribed topical generic medications in dermatology. Here's what they found.

The TNF alpha inhibitor certolizumab pegol (Cimzia, UCB) has achieved the highest response rates seen in phase three trials of self-injectable biologics for psoriasis.

Biologic tildrakizumab-asmn approved with suffix as differentiator from future biosimilar versions.

The use of cloudbased platforms to send, receive and store patient data in teledermatology adds security risks.


The Orlando Dermatology Aesthetic & Clinical Conference (ODAC), formerly known as Orlando Derm, is scheduled for January 18-21 at the JW Marriott in Orlando.

Crown Laboratories has acquired Bellus Medical, allowing the firm to secure a variety of noninvasive aesthetic products, according to a company news release.

Almirall has closed on an agreement to acquire Allergan’s medical dermatology unit in the United States for $550 million.

In this month's Innovation column, Steve Xu, M.D. and Morgan Nguyen discuss how to incorporate innovation into medical societies.

The U.S. Food and Drug Administration has approved clearance for a new acne treatment that selectively targets sebaceous glands, according to a news release.

Proscia Inc., a digital technology company specializing in the development of artificial intelligence applications and software for digital pathology, recently secured $8.3 million in an initial round of financing.

In this article, Dr. Peter A. Lio discusses how recent advances in atopic dermatitis have led to a new standard of care, which aims to keep patients clear safely and maximize improvements in quality of life.

When it comes to opioids, neither patient nor provider is equal. This article explores recent research that highlights the differences in who will receive and who will write a prescription for opioids.

Are cosmetics really tested for efficacy? If so, how are they tested? Dr. Zoe Diana Draelos answers these questions in this month's Cosmetic Conundrums column.

Can I lose my license for giving a curbside consult? Dr. David J. Goldberg covers this issue in this month's Legal Eagle column.

Two approved and two pending anti-IL 23 drugs offer an opportunity for moderate to severe psoriasis patients to regain their lives, according to researchers presenting at the 2018 Fall Clinical Dermatology Conference.

Superficial radiation therapy (SRT) targets only skin cancer cells and has few side effects, researchers reported at the American Society for Dermatologic Surgery annual meeting.

Study finds daylight photodynamic therapy with ablative fractional laser more effective than with microdermabrasion for treating actinic keratoses with large area field cancerization.

Prompt management of skin cancer lesions is stressed for pregnant patients in a recent article in the Journal of the American Academy of Dermatology, but whether it’s applied in clinical practice is unknown.

Squamous cell carcinoma in hidradenitis suppurativa is rare, but mortality is high, according to Mayo Clinic researchers reporting at the American Society for Dermatologic Surgery annual meeting last week in Phoenix.

Stage II melanoma patients don’t always benefit from staging PET-CT, according to Duke University Medical Center researchers reporting last week at American Society of Dermatologic Surgery annual meeting in Phoenix.

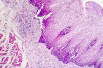
Dermatofibrosarcoma is a common, but unusual locally aggressive cutaneous tumor. Its characteristic tentacle can grow into surrounding fat, muscle and even bone. For dermatologists this means that understanding treatment options is a priority, says a physician reporting from EADV 2018.

Potential new treatment with targeted monoclonal antibodies offers new hope for cutaneous lymphoma patients.

Clinicians are more likely to correctly identify the lesions’ underlying cause with careful observation rather than with several lab tests.

Patients who achieve complete skin clearance of psoriasis experience a noticeable difference in quality of life and work productivity.

A new study advises selecting biologic therapies for psoriasis based on individual factors such as patients' comorbidities, preferences and clinical situation, as well as the advantages and disadvantages of particular biologic treatments.