
A recent study aimed to examine daylight photodynamic therapy vs cryosurgery for the prevention of actinic keratoses in photodamaged facial skin.

A recent study aimed to examine daylight photodynamic therapy vs cryosurgery for the prevention of actinic keratoses in photodamaged facial skin.

In this study, researchers aim to find the long-term improvements on photoaging after ALA-PDT for AK.

Brian Berman, MD, PhD, maps the root causes, prevention strategies, and latest treatments for this widespread precancer at 2021 Fall Clinical Dermatology Conference for PAs & NPs.

A recent study examines the role of a vegan or omnivore diet on photodynamic therapy for actinic keratosis.

Researchers examine whether daylight PDT is less painful but equally as effective as conventional PDT as treatment for actinic keratosis.

A review of the American Academy of Dermatology guidelines and current treatment improvements for actinic keratosis were discussed during a presentation at Maui Derm NP+PA Fall 2021.

Potential game-changers in the pipeline and newly FDA-approved treatments were highlighted in an overview of new drugs to watch at Maui Derm NP+PA Fall 2021 meeting.

In this video interview, Ted Lain, MD, discusses the causes and effects of actinic keratosis, as well as the unmet needs, how to diagnose, and what treatments are currently available.

In this exclusive interview, Ted Lain, MD, dives into the management of field cancerization, including its biggest challenges, available and emerging treatment options, tips on treatment approach, and more.

The Journal of the American Academy of Dermatology has published new recommendations for the treatment of actinic keratosis (AK).

Research analyses found an increased risk of cSCC after AK diagnosis during long periods of follow up.

Todd Schlesinger, MD, FAAD, outlines his research on newly FDA-approved topical tirbanibulin (Klisyri, Almirall) for treatment of actinic keratosis (AK), as well as compares it to another topical treatment for AK, 5-fluorouracil.

Biofrontera announces it is seeking FDA-approval for its new BF-RhodoLED XL lamp to be used in combination with topical aminolevulinic acid hydrochloride gel 10% for the treatment of actinic keratosis.

Almirall announces the launch of tirbanibulin (Klisyri), a novel microtubule inhibitor for the topical treatment of actinic keratosis on the face or scalp.

Topical microtubule inhibitor, tirbanibulin (Klisyri, Almirall), demonstrates positive results for treating actinic keratosis (AK) of the face and scalp, according recently published data from two phase 3 studies.

A recent study found states' Medicare per-beneficiary spending between actinic keratosis and skin cancer differs widely.

Tirbanibulin (Klisyri, Almirall) has been approved by the U.S. Food and Drug Administration (FDA) for the topical treatment of actinic keratosis on the face or scalp.

It is estimated that 0.025% to 16% of all actinic keratosis (AK) lesions may progress into invasive SCC per year, and there is still no marker to predict which lesions will progress, according to a recent paper that outlined diagnostic challenges as well as current and pipeline treatment approaches.

Off-label product use is fairly common in aesthetics and plays a key role in advancing treatment practices in the specialty. Dr. Amy Foreman Taub explains the four she uses on a regular basis.

George Martin, M.D., presented diagnostic and treatment tips on actinic keratosis, basal cell carcinoma and squamous cell carcinoma at the Maui Derm NP + PA summer 2019 meeting.

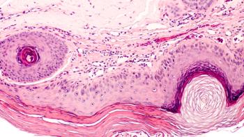
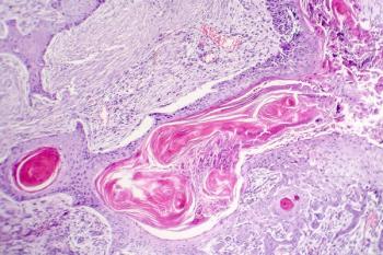
Comparative diagnosis of actinic keratosis (AK) and squamous cell carcinoma (SCC) in situ is needed for accuracy in treatment plan.

Laser-assisted drug delivery used to fractionally ablate the target area prior to topical medical treatment can be useful in patients with widespread actinic damage, says this expert.

Reimbursements for actinic keratosis treatments are down slightly, but the demand for treatment is up by 20 percent.

Topical 5‐fluorouracil is FDA-approved to treat actinic keratoses and superficial basal cell carcinoma, but it is commonly used off-label to treat a number of other skin conditions, such as squamous cell carcinoma despite strong evidence.

Literature review shows that laser-assisted photodynamic therapy more efficacious than photodynamic therapy alone for actinic keratosis.