
AbbVie announced that patients treated with risankizumab achieved significantly higher results than those given apremilast.

AbbVie announced that patients treated with risankizumab achieved significantly higher results than those given apremilast.

Researchers found that treatment for atopic dermatitis could contribute to a higher mutation rate.

Programs will address an education or care gap in skin of color that is not being met in dermatological care.

LiVDerm and the Masters of Pediatric Dermatology Symposium have developed a 6-module course that covers some of the most common skin care conditions in pediatric patients.

AbbVie announced that treatment has begun in the first randomized, placebo-controlled, double-blind, multicenter study.

A study found that maternal alopecia areata led to a significantly higher incidence of childhood development of autoimmune, psychiatric, thyroid, and other disorders.

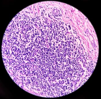
Researchers applied EB-101, a new cell therapy, to patients with recessive dystrophic epidermolysis bullosa with positive results.

A recent study found no correlation between a genetic predisposition to psoriasis or systemic treatment for psoriasis and an increase in the severity of COVID-19 illness.

The women, aged 40 to 75, showed statistical improvement in firmness, lines and wrinkles, and crepiness.

The Melanoma Research Alliance provides funding to support investigators in preventing, detecting, and treating melanoma.

Men have a lower overall survival rate than women when diagnosed with melanoma.

Children of mothers who took more than 5 courses of antibiotics during pregnancy were at the highest risk.

Jemima Mellerio, MD, said a correct diagnosis often requires a lot of testing, questioning, and observation.

As a parent of a child with a vascular anomaly, Kumar has experienced all the emotions of having a child who is born with a skin condition.

In a study, researchers found that after 4 weeks of regular use, shampoo containing salicylic acid, urea, and glycerin significantly reduced Psoriasis Scalp Severity Index.

As a radiologist with Radiology Associates of Albuquerque, Jessica Williams, MD, offered pearls on imaging for young patients.

Remembering that skin conditions are not just physical, but also have a significant emotional impact, is critical to treating the whole patient.

Dermatologists can use TikTok to educate the public on skin care and dispel incorrect information.

Researchers noted that infants who began propranolol therapy at higher dose had a lower incidence of adverse events.

Sara F. Grace, MD, discussed medications and diseases that dermatologists encounter in treating patients.

Carrie Coughlin, MD, discussed how dermatologists can gain insight into their patient’s preferences using qualitative research tools.

Jemima Mellerio, MD, covered recent developments for managing epidermolysis bullosa and the challenges of studying rare diseases.

A multicenter study to further explore treatment of kaposiform hemangioendotheliomas has been proposed after untreated patients did not develop Kasabach Merritt Phenomenon.

Bree will discuss the organization she founded and how it helps children with skin diseases and birthmarks.

Summer months bring time outside. With July being UV Awareness month, we are highlighting some past articles you may have missed.


When sessions conclude, you will find no shortage of opportunities to keep you busy.

A study found that the costs associated with managing comorbidities of hidradenitis suppurativa increase among adults and adolescents.

Alphyn Biologics announced positive results from their Phase 2a trial of AB-101a will lead to a multinational Phase 2b trial soon.

The 2023 Society for Pediatric Dermatology Meeting kicks off in Asheville, North Carolina, on July 13.