
Psoriasis often has a greater impact on quality of life in patients with skin of color as the condition and its treatment can result in long-lasting pigmentary changes.

Psoriasis often has a greater impact on quality of life in patients with skin of color as the condition and its treatment can result in long-lasting pigmentary changes.

The 2019 joint American Academy of Dermatology and National Psoriasis Foundation phototherapy treatment of psoriasis guidelines comprehensively updates dermatologists and other providers on the state-of-the art use of various light modalities to treat psoriasis patients.

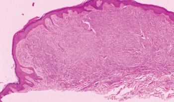
Malignant melanoma can mimic many melanocytic lesions and vice versa, making it a difficult diagnosis. As such, accurate diagnosis should be a collaborative effort between clinician and dermatopathologist, says this expert.

In this month's Innovation article, Steve Xu, M.D., FAAD, highlights a company and innovator who are using artificial intelligence to augment physician decision-making, not replace it.

Skincare is advancing quickly. In this article, Dr. Draelos highlights several important, controversial trends dermatologists should have on their radar.

Dr. Draelos answers questions regarding different types of moisturizers, including stem cell and biologic-containing products in this Cosmetic Conundrums article.

There are many different aspects to the treatment and management of primary melanoma, but clinicians differ on their perceptions of the ideal treatment approach.

Being overweight may have a protective effect on whether adolescents develop acne, according to a new study of more than 600,400 Israeli youth.

Stay up to date on the latest recommendations for rosacea diagnosis, classification and management from the global ROSacea COnsensus (ROSCO) 2019 panel.

If the public pays for the training of physicians, can it be argued that the public has an ownership property interest in American healthcare? David J. Goldberg, M.D., J.D., provides his insight.

Clascoterone 1% cream is in late stage development for acne treatment and in a higher strength solution for androgenetic alopecia. Read more about this novel treatment here.

Rosacea is often underdetected and misdiagnosed in skin of color patients. This expert wants to increase dermatologists’ awareness of how rosacea might present differently in skin of color and how best to treat it without causing post-inflammatory hyperpigmentation.

Patients with rosacea appear to have a significant increase in the risk of breast cancer when compared to those without this skin condition, according to a new study.

Bioidentical hormones have been shown to increase skin hydration and reduce skin atrophy. Dr. Ronald Moy discusses the benefits - and the hormones themselves - in the context of the aesthetic practice.

In this article, we highlight how sarecycline fits into the current treatment offerings for moderate-to-severe acne.

The initial cosmetic consultation with a new patient should inspire with possibilities rather than overwhelm with details. That's according to Dr. Mary Lupo who offers several tips for making the most of your cosmetic consults.

Weight-based dosing of apremilast appeared to ensure comparable efficacy, safety and tolerability with in kids as in adults, and should be explored in future studies.

Topicals aimed at reviving estrogen-deficient skin and warding off damage from UV rays hours after exposure, while repairing DNA, are among the new cosmeceutical innovations backed by science.