
At a poster session at the Skin of Color Update meeting in New York City, investigators looked at skin cancer education and prevention among patients with skin of color.

At a poster session at the Skin of Color Update meeting in New York City, investigators looked at skin cancer education and prevention among patients with skin of color.

At the 2022 Skin of Color Update meeting in New York City, Saakshi Khattri, MD, talks about the benefits of treating patients who have psoriasis with roflumilast cream.

At the Skin of Color Update meeting in New York City, Mona Shahriari, MD, FAAD, shares her thoughts on prescribing the recently-approved tapinarof (VTAMA) for plaque psoriasis.

At a poster session at the Skin of Color Update meeting in New York City, a study looked at whether women of color thought they were well-represented when it comes to learning about skin aging and prevention.

At the Skin of Color Update 2022 meeting, Pearl Grimes, MD, shares her thoughts on the recent approval of ruxolitinib cream.

Hilary Baldwin, MD, discusses what's new and exciting at the Skin of Color Update Meeting in NYC

A SOC scientific symposium iPoster posited that using self-learning modules to bridge the gap in skin of color dermatology knowledge could be helpful in a medical education curriculum.

In a poster at the 2022 SOC scientific symposium, Andrew Alexis, MD, MPH, examined the efficacy of one AD drug against race and ethnicity.

Catch up on all of the latest news coming out of the Skin of Color Update 2021.

Hilary Baldwin, MD, presented on how to recognize, diagnose, and treat rosacea in patients with skin of color at the Skin of Color Update 2021.

At the 2021 Skin of Color Update, Andrew Alexis, MD, MPH, presented on the subtle distinctions in treating skin of color patients with acne.

Jill Waibel, MD, discusses her recommendations on how to treat keloids and scaring using lasers in her presentation at the Skin of Color Update 2021.

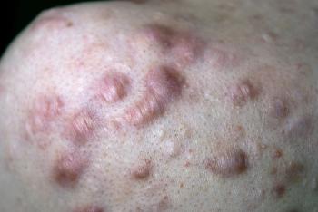
Ginette A. Okoye, MD, FAAD, provides several clinical pearls to help physicians find the best therapy for their individual hidradenitis suppurativa patients in her presentation at the Skin of Color Update 2021.

Hilary Baldwin, MD, presents on keloids in light skin patients, hypopigmentation after treatment, to stitch or not to stitch, and more.

Artificial intelligence diagnostics are less accurate on skin of color than light skin, even when trained on equal numbers of images.

Some adverse reactions to cosmetic procedures occur more often in patients with darker skin types. Patients should be counseled on appropriate cosmetic procedures for their skin type, according to Cheryl M. Burgess, M.D., at the Skin of Color Update virtual meeting.

In the final part of our interview with Candrice Heath, M.D., she discusses some of the treatment challenges associated with treating pediatric patients with skin of color and how to overcome these obstacles.

In part two of our interview with Candrice Heath, M.D., she explains the most commonly encountered skin conditions when treating young skin of color patients.

Candrice Heath, M.D., shares her tips and tricks for treating young skin of color patients from her presentation at the 2020 Skin of Color Update.

In this episode, Candrice Heath, M.D., sits down to discuss her recent presentation at the 2020 Skin of Color Update about clinical pearls for kids, tweens and teens with skin of color. Dr. Heath also explains the most common skin conditions for this patient group, treatment challenges, and much more.