
A poster from the 2023 Revolutionizing Atopic Dermatitis Conference revealed a link between AD, impaired oral health, and oral dysbiosis.

A poster from the 2023 Revolutionizing Atopic Dermatitis Conference revealed a link between AD, impaired oral health, and oral dysbiosis.

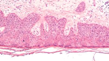
A poster presented at the 2023 ReV Virtual Conference explored the association between the 2 conditions.

Alan Irvine, MD, DSc, discusses his Revolutionizing Atopic Dermatitis session and exciting advances in AD.

Keep up with the latest headlines in dermatology from the past week, including efficacy of nemolizumab in prurigo nodularis, the addition of a skin bank in northern India where skin banks are scarce, and more.

Investigators explored the genetic relationship between psoriatic disease and serum lipid levels.

Approximately 96.2% of patients had achieved PASI75 by week 12 of the study.

Researchers explored the potential causal relationship between pure hypercholesterolemia, a recognized risk factor for cardiovascular disease, and psoriasis.

DecisionDx-Melanoma significantly influences treatment plans for melanoma patients, as reported by 82.4% of surveyed nurse practitioners and physician assistants.

A review examined the treatment landscape of BCC, particularly in the realm of photodynamic therapy.

Keep up with the latest headlines in dermatology from the past week, including the launch of a free dermatology and wound care clinic, a glimpse into the future of cosmetic dermatology, and more.

Investigators also developed a MELASQoL model using 4 predictors of quality of life impacts in patients with melasma.

This World Aids Day, review the common dermatologic manifestations of AIDS and HIV infection.

Click here to answer this week's poll for Hyperhidrosis Awareness Month.

The technology combines the irradiation of two wavelengths at 10,600 nm and 1540 nm.

With greater understanding of this rare pathology and its signs and symptoms, review authors believe this understanding could prompt early and necessary intervention.

Each of 3 patients treated with cemiplimab achieved a near complete response.

The sNDA is supported by positive data from the phase 3 INTEGUMENT-1 and INTEGUMENT-2 trials.

Identifying social determinants in TEM is crucial to eliminating disparities in care, study authors wrote.

A phase 1 study found that RPT193 monotherapy led to greater improvements in clinical efficacy than treatment with a placebo.

Keep up with the latest headlines in dermatology from the past week, including new research related to eczema and itch linked to bacteria, a new drug developed for melanoma and lung cancer demonstrating potential in the treatment of cSCC, and more.

Click here to answer this week's poll for Hyperhidrosis Awareness Month.

Connect Biopharma announced positive long-term data from its China pivotal trial.

Patients with AD and a comorbid allergic condition achieved the same efficacy endpoints as patients without allergic conditions in a study.

Jared Gollob, MD, Chief Medical Officer of Kymera Therapeutics, spoke with Dermatology Times to discuss these trial results.

Keep up with the latest headlines in dermatology from the past week, including research revealing the presence of hemoglobin in the epidermis, 3D bioprinting to create hair follicles in human skin tissue, and more.

Jorge Garcia-Zuazaga, MD, MBA, FAAD, FACMS, discusses Apex Dermatology's Purple Heart Project.

Click here to answer this week's poll for Hyperhidrosis Awareness Month.

November is Native American Heritage Month. Access to dermatological health care has been a persistent challenge for individuals in the AIAN community.

Baricitinib is more commonly prescribed by dermatologists for patients with alopecia in the US and is projected to maintain a substantial market lead over ritlecitinib.

There are currently no FDA-approved therapies for the rare, genetic disease.