
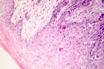
The goal of Arron et al’s study was to determine if the 40-GEP test could identify high-risk cSCC patients who would benefit from ART in controlling metastatic disease progression.

The goal of Arron et al’s study was to determine if the 40-GEP test could identify high-risk cSCC patients who would benefit from ART in controlling metastatic disease progression.

The positive outcomes observed in these cases underscore the potential for these products to revolutionize the way dermatology clinicians address visible signs of facial aging.

Shah is presenting alongside a panel of leading experts at Fall Clinical 2023.

Dawn Merritt, DO, and Mark Lebwohl, MD, took the stage to explain the history of CSU, the prevalence of testing and food avoidance, approved treatments, and monitoring treatment improvement for the condition.

Catch up on coverage from the second day of the 2023 Fall Clinical Dermatology Conference.

Francesca Tenconi, president and CEO of Children’s Skin Disease Foundation and Camp Wonder, presented at Fall Clinical 2023 about the challenges of chronic skin conditions in children.

April Armstrong, MD, MPH, and Peter Lio, MD, explained the science behind how AD impacts quality of life and biologics on the market to enhance treatment plans.

Kwatra reviewed skin lesions in PN and important treatment considerations for patients at Fall Clinical.

Catch up on coverage from the first day of the 2023 Fall Clinical Dermatology Conference and the Inflammatory Disease Summit.

Bhatia also shared insights into ritlecitinib for alopecia areata at Fall Clinical 2023.

Test your knowledge on the foundation leading to the development of biologics to treat atopic dermatitis.

Farberg is looking forward to another year of top-notch presentations at Fall Clinical 2023.

Cheryl Burgess, MD, will share pearls on counseling patients on appropriate cosmetic procedures for their skin type, safety measures, and strategies to achieve desired outcomes.

Looking to explore the city between Fall Clinical sessions or to extend your stay? Check out this top 10 list of the best Las Vegas has to offer in October.

One of the largest dermatology meetings of the year kicks off today with an exciting line up of expert perspectives and clinical pearls. Here's what you can expect.

One of the many minds behind innovative Fall Clinical Dermatology sessions gives a sneak peek of the top 5 things to look forward to during this year's meeting.

Click here to answer if you're attending Fall Clinical.

Among the many sessions to be held at the 2023 Fall Clinical Dermatology Conference in Las Vegas, Nevada, several Dermatology Times® Editorial Advisory Board members are preparing to share their knowledge and insights.

Clinicians fresh from the Fall Clinical Dermatology Conference discuss their top meeting takeaways and share some recommendations.

Catch up on coverage from the 2022 Fall Clinical Dermatology Conference.

At the 2022 Fall Clinical Dermatology Conference, a dermatologist shares results of using cemiplimab-rwlc (Libtayo) for basal and squamous cell carcinoma.

At the 2022 Fall Clinical Dermatology Conference, Bruce E. Strober, MD, PhD, reviewed the best treatment options for patients with psoriasis and psoriatic arthritis.

At the 2022 Fall Clinical Dermatology Conference, one clinician discusses history, definitions, and diagnosis for this common skin affliction.

At the 2022 Fall Clinical Dermatology Conference, 5 practitioners share their best tips for treating their patients

At the 2022 Fall Clinical Dermatology Conference, 3 expert clinicians share their strategies for diagnosing and managing alopecia areata.

At the 2022 Fall Clinical Dermatology Conference,a presenter looks at the best treatments for hair loss and nail fungus.

The 40-gene expression profile (40-GEP) test can focus treatment options and optimize patient outcomes, according to a poster presentation at the 2022 Fall Clinical Dermatology Conference.

At the 2022 Fall Clinical Dermatology Conference, Joslyn R. Sciacca Kirby, MD, MS, MEd, and Raj Chovatiya, MD, PhD, discussed how there is a large unmet need for hidradenitis suppurativa treatment and what future treatment could look like.

Neal D. Bhatia, MD, discusses the nuances of photodynamic therapy in a session at Fall Clinical in Las Vegas, Nevada, October 20-23.

At the 2022 Fall Clinical Dermatology Conference in Las Vegas, Aaron S. Farberg, MD, shares data on the treatment of plaque psoriasis using tildrakizumab-asmn.