
Offering in-person and virtual formats, the 2022 Fall Clinical Dermatology Conference for PAs & NPs includes 3 days of informative sessions designed to help health care practitioners “unlock their value to their patients and their practice."

Offering in-person and virtual formats, the 2022 Fall Clinical Dermatology Conference for PAs & NPs includes 3 days of informative sessions designed to help health care practitioners “unlock their value to their patients and their practice."

Neal Bhatia, MD, highlights new approaches in rosacea therapy in his session at the Fall Clinical Dermatology Conference for PAs & NPs.

Darrel S. Rigel, MD, highlights updates in photoprotection, sunscreen SPF levels, and oxybenzone.

Experts discuss their tips for dealing with difficult patients, including those who refuse to pay, badmouth colleagues, and even cause a scene in the waiting room.

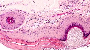
Brian Berman, MD, PhD, maps the root causes, prevention strategies, and latest treatments for this widespread precancer at 2021 Fall Clinical Dermatology Conference for PAs & NPs.

The potential of JAK inhibitors and other emerging medications could answer demand for more treatment options for these challenging skin conditions. Read down below.

In a video for Dermatology Times®, Mark Lebwohl, MD, details how to match patients with the right psoriasis treatment for their specific needs.

Ruxolitinib meets primary and secondary endpoints in phase 3 TRuE-V clinical trial program.

In his presentation at the 2021 Fall Clinical Dermatology Conference for PAs & NPs, Matt L. Leavitt, DO, FAOCD, FISHRS, highlighted the methods to diagnose scarring and nonscarring alopecias.

In a video for Dermatology Times®, Mark Lebwohl, MD, discloses the tips he and other physicians gave to nurse practitioners and physicians assistants to better care for patients.

Experts put forth their top pearls to help better take care of patients. Here’s what they said.

In this video interview, Mark Lebwohl, MD, explains the need and demand for the 2021 NP&PA Fall Clinical Dermatology Conference.

From November 12 to 14 in Orlando, Florida, the 2021 PA&NP Fall Clinical Dermatology conference will be offering a multitude of informative sessions to educate the dermatology world.